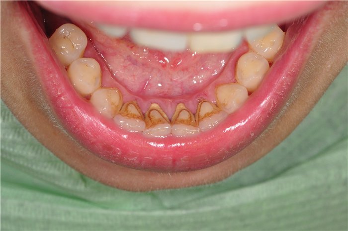
Зубным камнем считаются известковые коричневые отложения. Обычно их скопление наблюдается на внутренней поверхности нижних резцов. Такие камни образовываются в том случае, когда человек не совсем правильно чистит зубы. Также камни могут являться результатом нарушения обмена веществ или потребления только мягкой пищи. Но мы хотим предложить удалить зубной камень в домашних условиях при помощи простого и эффективного средства — орехового отвара.
Нам понадобится взять:
скорлупа грецких орехов — 40 грамм
вода — 1 ст.
Применение следующее:
Отвариваем в течение 20 минут скорлупу в воде и потом процеживаем после остывания полученную смесь.
В ореховом отваре на 10 минут замачиваем зубную щетку. Затем тщательно чистим ею зубы.
Процедура повторяется 3 раза в день — до тех пор пока зубной камень полностью не исчезнет. Обычно результаты можно наблюдать спустя 2 недели.
Следует знать, что используемая а ореховом отваре скорлупа – это мощное антибактериальное средство. Также ореховая скорлупа она помогает очистить поверхность эмали от неприятного налета.
Полезна эта процедура для тех, кто страдает кровоточивостью десен, при этом воспаление исчезает довольно быстро.
